Sie befinden sich hier

Inhalt

Diagnostik und Therapie

Gefäßanomalien sind sehr unterschiedlich, daher beginnt jede Abklärung mit einer individuellen Einschätzung. Grundlage ist die ISSVA Klassifikation 2025. Wir erfassen Beschwerden, Vorbefunde und Fotos, untersuchen sorgfältig und legen gemeinsam die nächsten Schritte fest.

Diagnostik

Für die Bildgebung stehen farbkodierter Ultraschall inklusive 4D Sonografie, dynamische Computertomografie und Magnetresonanztomografie zur Verfügung. Die Auswahl richtet sich nach der klinischen Fragestellung.

Bei Kindern und in besonderen Situationen achten wir auf strahlungsarme Verfahren und bevorzugen wann immer möglich die MRT.

Wenn es medizinisch sinnvoll ist, erweitern wir die Diagnostik um Phlebographie oder Katheter Angiographie. Beides kann mit einer Behandlung in derselben Sitzung kombiniert werden. Dadurch lassen sich Narkosen und Klinikaufenthalte reduzieren.

Ergänzend prüfen wir Laborwerte und Gerinnung, und entnehmen bei Bedarf Gewebeproben in Zusammenarbeit mit spezialisierten Partnern. Alle Befunde werden interdisziplinär besprochen. Auf dieser Basis erläutern wir die Optionen und planen das weitere Vorgehen transparent und verständlich.

Therapiemöglichkeiten

Ziel jeder Behandlung ist es, Beschwerden zu lindern, Funktion zu erhalten und Lebensqualität zu verbessern.

Vor jedem Eingriff wägen wir Nutzen und Risiken sorgfältig ab. Dafür ist die enge Zusammenarbeit erfahrener Fachdisziplinen zentral.

Je nach Befund kommen stufenweise zum Einsatz: konservative Maßnahmen wie Kompression, Ergo und Physiotherapie sowie weitere physikalische und orthopädische Verfahren; medikamentöse Optionen wie Antikoagulation und individuelle Schmerztherapie; minimalinvasive interventionell radiologische Verfahren wie perkutane Sklerosierung und Katheterembolisation.

Laserbehandlungen und offene chirurgische Eingriffe sind seltener, können in ausgewählten Fällen aber sinnvoll sein, oft in Kombination mit minimalinvasiven Techniken.

Die Therapieplanung erfolgt individuell nach Art und Ausprägung der Gefäßanomalie und orientiert sich an Leitlinien und der ISSVA Klassifikation. Größere oder komplexe Befunde behandeln wir häufig schrittweise. Alle Schritte erläutern wir transparent und legen gemeinsam Kontrollen und Nachsorge fest.

Sklerosierungstherapie

Die Sklerotherapie ist ein minimalinvasives Standardverfahren bei venösen und lymphatischen Malformationen. Sie ist ein sehr schonend und gut wirksam.

Sklerosierung

Für die Sklerosierung wird ein spezieller Alkoholschaum oder ein Alkoholgel in die Gefäßanomalie gespritzt. Das Medikament löst dort eine lokale Entzündungsreaktion aus. Diese führt im Verlauf von einigen Wochen zu einer Vernarbung (Sklerosierung) der Gefäßanomalie, wodurch diese schrumpft und inaktiv wird (siehe Abbildung 1-6).

Bei dem minimalinvasiven Eingriff wird die Gefäßanomalie ultraschallgestützt punktiert. Über den Zugang wird anschließend Kontrastmittel in die Veränderung eingebracht, um die Gefäßanomalie sichtbar zu machen. Danach beginnt die Sklerosierungstherapie.

Je nach Größe, Ausdehnung und Ort der Gefäßanomalie ist es erforderlich, die Behandlung mehrfach durchzuführen, um den angestrebten Therapieerfolg zu erzielen. Dabei wählt man meist ein Behandlungsintervall von 8 bis 10 Wochen.

 Die Sklerosierungstherapie ist risikoarm, aber – wie jeder Eingriff – nicht absolut risikofrei. In einem persönlichen Aufklärungsgespräch informieren wir Sie ausführlich über die Vorgehensweise bei der Behandlung, ihre Risiken und mögliche Komplikationen. Gerne beantworten wir dabei auch Fragen zu dem geplanten Eingriff.

Ablauf und Nachsorge

Die Behandlungsplanung zu einer Sklerosierungstherapie wird in der Sprechstunde vorgenommen. Falls eine Narkose notwendig ist, erfolgt zusätzlich eine Vorstellung in der Prämedikationsambulanz der Anästhesie.

Am Behandlungstag erfolgt in der Regel um 7 Uhr morgens nüchtern die Anmeldung in der Patientenaufnahme. Dort wird auch eine Stationszuweisung vorgenommen. Zur Aufnahme ist eine  Krankenhauseinweisung vorzulegen.

Der Eingriff wird im Interventionszentrum durchgeführt. Das Behandlungsteam betreut Sie vor, während und nach der Intervention. Nach dem Eingriff wird die Verlegung auf Station vorgenommen.
Die behandelte Körperstelle wird mit einem Kompressionsverband versehen, der 24 Stunden verbleibt. Das Behandlungsgebiet soll über diesen Zeitraum hochgelagert und konsequent mit Eispacks gekühlt werden, um Schwellungen und Schmerzen zu reduzieren.

Vor der Entlassung, die meist am zweiten Tag nach der Behandlung möglich ist, erfolgt ein Abschlussgespräch zwischen Arzt und Patient. Dabei wird der weitere Ablauf besprochen, z.B. die Einnahme von Medikamenten, die Kompressionstherapie und die ambulante Wiedervorstellung zur Kontrolluntersuchung.

Prinzip der Sklerotherapie

Abbildungen 1-6: Vorgehensweise bei der Behandlung einer venösen Malformation (Abb. 1), die anpunktiert wird (Abb. 2) und mit einem Sklerosat ausgespritzt wird (Abb. 3 und 4). Damit wird die Vernarbung und Verkleinerung der venösen Malformation eingeleitet (Abb. 5 und 6).

Uterusarterienembolisation UAE bei Myomen

Die UAE ist eine minimalinvasive Behandlung symptomatischer Gebärmuttermyome.

Gebärmuttermyome

Das Gebärmuttermyom ist der häufigste gutartige Tumor der weiblichen Geschlechtsorgane. Bis zu 70 Prozent der Frauen zwischen 30 und 45 Jahren sind betroffen. Davon entwickeln ca. 30 bis 40 Prozent der Patientinnen im Laufe ihres Lebens behandlungsbedürftige Beschwerden.

Leitsymptome symptomatischer Uterusmyome sind starke, schmerzhafte und lang andauernde Menstruationsblutungen, die oft zu Blutarmut (Anämie) durch Eisenmangel führen. Häufig kommt es auch zu einer gesteigerten Frequenz der Blasenentleerung bis hin zur Inkontinenz, Bauchschmerzen mit Völlegefühl sowie Verstopfungen und Durchfällen. Zu diesen Beschwerden können – abhängig von Ausdehnung, Größe und Lage der Myome – auch Unfruchtbarkeit und eine Einschränkung der weiblichen Sexualfunktion hinzukommen.

Für symptomatische Gebärmuttermyome steht eine große Bandbreite medikamentöser, minimalinvasiver und chirurgischer Behandlungsmethoden zur Verfügung. Für die Wahl des passenden Therapieverfahrens müssen die anatomischen Gegebenheiten, die Wünsche der Patientin und die Erfahrungen des behandelnden Arztes berücksichtigt werden. Das interdisziplinäre Zentrum für Gefäßanomalien (IZGA) der VI. Medizinischen Klinik und die Frauenklinik der Universitätsmedizin Mannheim beraten gerne interdisziplinär zu geeigneten Therapieoptionen und gehen individuell auf die Belange der Patientinnen ein.

Uterusarterienembolisation UAE

Die Uterusarterienembolisation (UAE) ist eine minimalinvasive und risikoarme Behandlung, die über eine Punktion einer Arterie in der Leiste vorgenommen wird. Hierfür ist eine örtliche Betäubung ausreichend. Sobald der Katheter die arteriellen Gefäße erreicht hat, die das Myom mit Blut versorgen, beginnt die Embolisation. Dabei werden Kunststoffkügelchen (Mikrosphären) injiziert, die die Blutversorgung des Myoms unterbinden. Innerhalb weniger Wochen beginnt die Schrumpfung der verbliebenen, nicht mehr durchbluteten Myomhüllen und die Patientinnen empfinden meist schon nach kurzer Zeit eine erhebliche Besserung der Symptome.

Voraussetzung für eine UAE ist eine aktuelle gynäkologische Untersuchung mit einem unauffälligen PAP-Test (Früherkennung von Gebärmutterhalskrebs) und dem Ausschluss einer bösartigen Tumorerkrankung. Hormonpräparate (z.B. Anti-Babypille) sollten 4-6 Wochen vor dem Eingriff nicht mehr eingenommen werden.

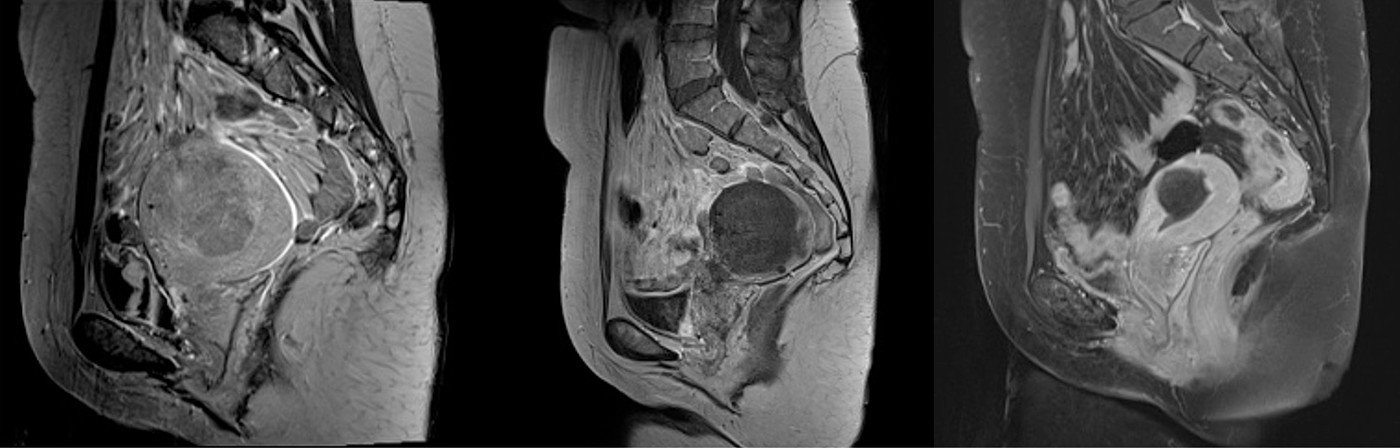
Zur Planung des Eingriffs wird vor der UAE eine Magnetresonanztomographie (MRT) des Beckens mit Kontrastmittel durchgeführt. Dabei werden Größe, Ausdehnung und Lage der Myome erfasst. So lässt sich auch beurteilen, ob Nachbarorgane wie Harnblase, Enddarm oder Wirbelsäule durch die vergrößerten Myome beeinträchtigt werden.

Nachsorge

Die UAE erfordert keine Vollnarkose. Die Patientin wird direkt nach der Behandlung auf einer Station der Frauenklinik überwacht und darf schon wenige Stunden nach dem Eingriff wieder aufstehen. Der stationäre Aufenthalt dauert in der Regel vier Tage. Vor der Entlassung wird zur Kontrolle ein erneutes MRT angefertigt und es findet ein Abschlussgespräch mit der Patientin statt, in dem das weitere Vorgehen besprochen wird.

Die Embolisation sorgt für die Schrumpfung der nicht mehr durchbluteten Myome, somit kann sich auch die vergrößerte Gebärmutter verkleinern, was ebenfalls zu einer deutlichen Befundbesserung der Patientin beiträgt.

Gelegentlich können in den ersten Wochen nach einer UAE Zwischenblutungen auftreten, die unbedenklich sind.

Die UAE ist minimalinvasiv und risikoarm, aber – wie jeder Eingriff – nicht absolut risikofrei. In einem persönlichen Aufklärungsgespräch informieren wir Sie ausführlich über die Vorgehensweise bei der Behandlung, ihre Risiken und mögliche Komplikationen. Gerne beantworten wir dabei auch Fragen zu dem geplanten Eingriff.