Sie befinden sich hier
Inhalt
Die Gelenkembolisation ist ein schonendes Verfahren zur Behandlung chronischer Gelenkschmerzen, insbesondere bei Arthrose, durch gezielten Verschluss kleiner Gefäße zur Schmerzreduktion.
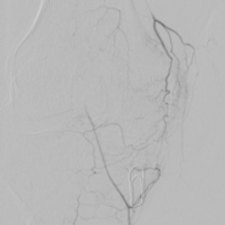
Kniegelenkembolisation
Dabei werden gezielt kleine Blutgefäße, die zur Entzündung und zum Knieschmerz beitragen, durch winzige Partikel verschlossen. Der Eingriff erfolgt schonend über einen kleinen Zugang in der Leiste, meist unter örtlicher Betäubung. Die meisten Patienten spüren bereits kurz nach dem Eingriff eine deutliche Schmerzlinderung und können rasch in ihren Alltag zurückkehren.
Die Kniegelenkembolisation stellt keinen Ersatz für eine Knieprothese dar, sondern dient lediglich der Schmerzbehandlung und kann eine Operation hinauszögern.



Gelenkembolisation
Schultergelenkembolisation
Ein weiteres Einsatzgebiet der Embolisarion/Verödung von kleinen Gefässen sind degenerative Erkrankungen/Verschleiß im Bereich der Schulter. Auch hier kann über einen kleinen Zugang z.B. am Handgelenk oder in der Leiste der Eingriff durchgeführt werden.
Die Eingriffe erfolgen in Kooperation mit dem Orthopädisch-Unfallchirurgisches Zentrum (OUZ).
Kontakt:
Telefon 0621/383-4500